我是医生, 我要登录 注册

创伤性骨化性肌炎

肘关节周围是骨化性肌炎的好发部位之一,这种异位性骨化,其确切发病机制还不清楚,常于肘部创伤有关。肘关节发生骨化性肌炎约3%,其中85%的骨化性肌炎的患者来自肘关节脱位。
别名: 创伤性骨化   骨化性血肿   肌性骨病   局限性骨化性肌炎   骨外局限性非肿瘤性骨软骨形成  
英文名: myositis ossificans traumatica
发病部位: 肘关节  
就诊科室: 创伤骨科  
症状: 肘部软组织肿块   疼痛   肘关节强直  
多发人群: 创伤患者  
治疗手段: 适当制动 主动锻炼 手术切除
并发疾病: 关节僵硬   静脉血栓形成  
是否遗传: 不确定
是否传染:

疾病知识

症状

患者先发现肘部软组织肿块。较硬,逐渐增大,伴有疼痛,但夜间不痛。约8周后包块停止生长,疼痛消失,但影响肘关节活动,甚至强直。

病因

其确切病因尚不清楚,常与严重创伤有关。检查发现,包块与周围软组织或肌肉分界清楚。成熟的骨化性肌炎包块可分为3层:外层有大量矿物质沉积形成外壳,最后成为致密板样骨,镜下可以看到成骨细胞和破骨细胞进行骨的改建;中层有大量的骨样组织和丰富的成骨细胞,其中有许多纤细的骨松质;内层核心是能被X线穿透的软组织。这些软组织早期增生活跃,有未分化的间叶细胞。这些梭形细胞染色质丰富,有多形性细胞核,有时可见到有丝分裂,但是细胞形态正常。成熟后,内层增生活跃软组织被脂肪组织代替。

检查

1.实验室检查 肿块未成熟时血清碱性磷酸酶可升高。 
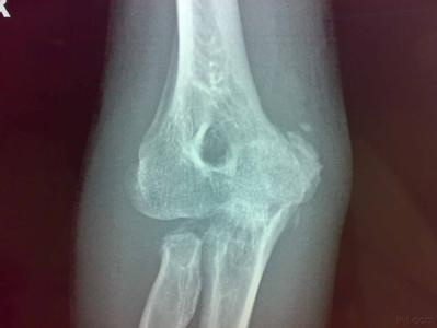
2.其他辅助检查 在3~6周后,X线摄片可见到骨化影。开始呈云雾状环状钙化,以后逐渐轮廓清楚,中央透亮。成熟后外周骨化明显致密,其内为骨小梁。
3.CT及MRI检查对早期病例可显示异常。核素扫描在伤后1周可发现浓集,该项检查具有早期诊断价值。

诊断

病史:青少男性患者,如有肘关节外伤史。
体征:伤后肿胀明显或反复行手法复位,或关节强力被动活动后出现疼痛、肿胀,常伴有低热。
辅助检查:X线片见骨化影,开始呈云雾状环形钙化,以后逐渐轮廓清楚,中央透亮。数月后骨化,关节功能受限,应考虑本病。

治疗

在未成熟时期,要适当制动,避免进一步损伤,以后在无痛下进行主动锻炼。年轻患者经非手术治疗可望软组织钙化消失。待到X线检查肿物骨化成熟,一般需要9-12个月。患者疼痛消失对关节活动明显受限者,可以手术切除,以改善关节功能。但是手术后复发率高。诚然,尺神经受压麻痹时应手术切除。

预后

骨化性肌炎应等待其成熟后再考虑手术切除,预后较好。

预防

1.尽早治疗肘关节骨折脱位,最好在伤后24小时内即开始治疗; 
2.复位必须在良好麻醉下进行,反复多次手法复位,加重损伤,增加发病机会; 
3.患者在康复期禁忌被动活动和粗暴按摩;
 4.对肘关节骨折脱位并延迟处理,或反复手法操作有可能发生骨化性肌炎者,可应用放射治疗。尤其切除骨化块后为预防术后复发更可应用。术后3~4天后进行,总量20Gy,分10次。放射治疗抑制间叶细胞演变能力,但放射治疗可促使骨骺早闭,因此骨骺未闭者禁用。某些药物,如四磷酸盐、消炎痛等也有预防作用。
5.对于无明显外伤的骨化性肌炎称为假恶性骨化性纤维瘤。勿做针吸活检,切取整个包块检查。

健康问答

  • 什么是创伤性骨化性肌炎?
    医生头像
    马军峰 主治医师 渭南市华州区人民医院 - 骨科
    是一种以纤维性、软骨或骨性化生为特征的局部反应性病变。肘关节周围是骨化性肌炎的好发部位之一 ,常发于靠近骨或骨膜的软组织,骨骼肌并不...受累,也无炎症改变,故又称为骨外局限性非肿瘤性骨软骨形成、肌性骨病、骨化性血肿、局限性骨化性肌炎等,近年多称为局限性异位骨化。下拉查看详情

词条标签

权威编辑

医生头像

创建者:马军峰

渭南市华州区人民医院 骨科

互联网医学百科

基于健康医疗大数据的全国家庭健康服务平台,欢迎广大医生参与加入医学词条的创建及优化!

推荐词条

静脉血栓形成

词条统计

浏览次数: 1908

编辑历史: 1

最近更新:2016年12月30日 15:23

网友、医生言论仅代表其个人观点,不代表本站同意其说法,本站不承担由此引起的法律责任

微医提供平台支持 Copyright 2011-2017版权所有。  浙ICP备15034772号-2

浙公网安备 33048302000102号