病例一 女 36岁,左上牙体疼痛三天,检查见牙齿颈部缺损,
图1 左上牙齿楔状缺损至牙龈下
图2 切除覆盖的牙龈,可见较大范围
图3 接近牙髓处盖髓
病例二
女 35岁牙齿疼痛几天,我去除软龋,发现洞很深。
图1 发现洞很深,接近牙髓了
图2 在洞底放牙髓保护剂
图3 在盖髓剂上放置垫底材料,平整底部
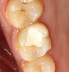
图4 充填窝洞,树脂材料
病例三,男,44岁,下牙齿疼痛4天
图1 去除软龋后的情况,洞较深,但是没有涉及牙髓
图3 消毒后,洞底接近牙髓的部位放置盖髓剂,
图3 分层填材料
图4 分层填材料,抛光表面
图5 粗抛光表面
图6 细抛光表面
