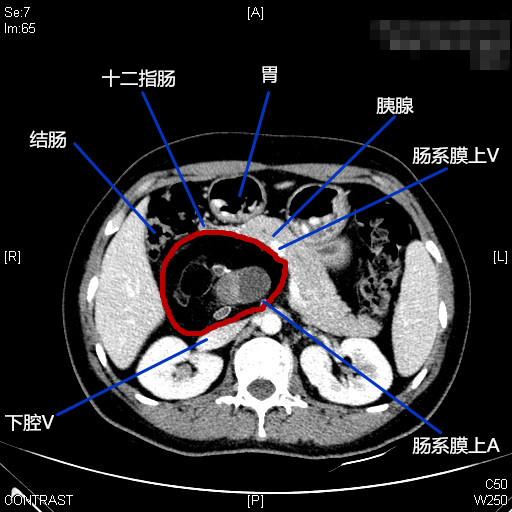
患者女性,45岁,体检发现后腹膜占位2月。CT提示:“胰腺后方可见约63*90mm混杂密度肿块影,内可见囊实性区及脂肪、牙齿,增强扫描实性区动脉期轻度强化,门脉期明显强化,边界清;腹腔干、肠系膜上动脉受压移位,考虑畸胎瘤诊断”。患者后腹膜占位诊断明确,肿瘤较大周围脏器受压,手术指征明确,拟行腹腔镜手术探查。手术困难所在:1.病变位于肝十二指肠韧带、十二指肠、胰头及横结肠后方暴露困难;2.毗邻关系复杂,病变周围与肝脏、胆囊、胆总管、横结肠、胃窦、十二指肠及胰头等重要器官毗邻;3.周围大血管多,病变与门静脉、肝总动脉、腹腔干、肠系膜动静脉、下腔静脉及左肾静脉关系密切,易导致术中大出血;4.病变系囊实性肿块牵引提拉困难。今经过团队两个小时的努力顺利切除肿瘤,术中出血约100ml。感谢麻醉师、护士及团队的辛勤付出,祝患者早日康复。







